Hemos implementado nuevos protocolos COVID-19 para garantizar la seguridad de nuestros pacientes.Conoce más
Menu
Cambiamos vidas, no solo sonrisas
Contactar English Spoken!Hemos implementado nuevos protocolos COVID-19 para garantizar la seguridad de nuestros pacientes.Conoce más
Certificaciones
La periodoncia es el área de la odontología que atiende las multiples afecciones que comprenden la encia, hueso alveolar, y ligamento periodontal. Por lo cual Dra Kenia Lopez trata problemas de inflamación en encias, mal aliento o movilidad dental.
Somos especialistas en estetica dental, Mejoramos tu sonrisa !! La forma y/o tamaño de los dientes, creando una sonrisa mas perfecta!
Desliza para comparar antes y después
Mediante los cubrimientos radiculares, tratamos la exposición de la raíz de los dientes, la cual puede causar hipersensibilidad dentaria a lo frío o caliente, además de caries en la raíz difíciles de tratar provocando la pérdida del diente, o ver un diente muy largo- antiestetico.
Desliza para comparar antes y después
Si presentas alguna anomalía en tu boca, estamos para ayudarte en el diagnostico y tratamiento de patologías orales
Hoy en día el éxito de la colocación de un implante dental, es de un 97% con un protocolo completo y un diagnostico acertado, realizamos valoración del estado de salud general, análisis de oclusión- mordida, además de la valoración clínica y radiográfica. El periodoncista maneja la estética de los tejidos blandos (encía), para un resultado súper natural.
Desliza para comparar antes y después
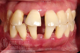
Fase 1 higienica- Infección de encias, Encias rojizas o inflamadas, sangrado gingival, movilidad dental, mal aliento.
Desliza para comparar antes y después
Alargamos tu corona clínica, para obtener dientes mas atractivos a la vista, el periodoncista es el indicado para realizar este tratamiento correctamente.
Desliza para comparar antes y después
Estamos preparados para realizar la reconstrucción del tejido oseo y blando perdido, que puede complicar la colocación del implante dental en su posición correcta 3D, además de afectar la estética de la futura prótesis o corona sobre el implante, atiéndete con los especialistas certificados.
Desliza para comparar antes y después
Por favor, si tienes alguna duda, o comentario, dejanos tus datos y con gusto te atenderemos.
Ciprés 809, Flamingos, 82148 Mazatlán, Sin. Como llegar
Lun - Vie: 9:00 - 14:00, 16:00 - 19:00 | Sábados: 9:00 - 14:00
669 983 9685

Hemos implementado las medidas necesarias para prevenir el contagio de coronavirus en nuestras instalaciones, como: